목차
치아가 대부분 발치 후 전체 임플란트가 필요하게 되면, 가장 먼저 드는 생각은 '도대체 비용이 얼마나 들까?'입니다. 수천만 원에 달하는 시술이라는 말에 망설이는 분들이 많지만, 전체 임플란트도 합리적으로 진행할 수 있는 방법은 분명히 존재합니다. 지금부터 전체 임플란트 가격 및 비용 아낄 수 있는 방법을 알아보겠습니다.
전체 임플란트란? 틀니와 다른 점은?
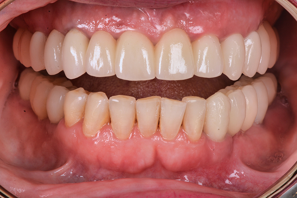
전체 임플란트는 말 그대로 위턱과 아래턱 전체에 임플란트를 식립 해 고정성 보철물을 제작하는 치료입니다. 일반적인 임플란트가 치아 하나를 대신하는 것이라면, 전체 임플란트는 치아가 대부분 없어진 경우에 적용됩니다.
많은 분들이 틀니와 비교하지만, 임플란트는 턱뼈에 직접 고정되기 때문에 씹는 힘이 훨씬 강하고 음식물 맛을 더 잘 느낄 수 있습니다. 또한 탈착이 필요 없어 편의성 면에서도 우수합니다.

전체 임플란트 가격, 얼마나 들까?
전체 임플란트의 평균 비용은 상하악 기준 약 2,000만 원에서 4,000만 원 사이입니다. 가격이 크게 차이나는 이유는 다음과 같은 요소에 따라 달라지기 때문입니다.
1. 임플란트 개수
전체 치아를 모두 심는 것이 아니라, 4개~6개의 임플란트를 식립하고 그 위에 보철물을 고정하는 올온포(All-on-4) 또는 올온식스(All-on-6) 방식이 일반적입니다. 이 방법에 따라 비용이 달라집니다.
2. 사용되는 재료
임플란트 고정체와 보철물의 재료가 다양합니다. 국산 제품과 수입 제품, 지르코니아 또는 도재 등의 선택에 따라 가격이 차이 납니다.



3. 병원과 의료진의 수준
대학병원, 대형 치과, 개인치과 등 병원 규모와 의료진의 숙련도에 따라 비용이 달라집니다.
전체 임플란트 비용 아낄 수 있는 방법
1. 여러 병원에서 상담받기
같은 조건의 치료라도 병원에 따라 최대 수백만 원의 차이가 날 수 있습니다. 최소 2~3곳 이상 비교 상담을 받아보는 것이 중요합니다.
2. 건강보험 적용 여부 확인
전체 임플란트는 원칙적으로 비급여 항목이지만, 만 65세 이상은 건강보험 틀니 또는 부분 임플란트 혜택을 받을 수 있습니다. 틀니를 생각 중인 분이라면 틀니 후 임플란트 전환하는 방법도 생각해 볼 수 있습니다.



3. 국산 임플란트 선택
최근 국산 임플란트 기술도 많이 발전하여, 품질 면에서 수입산과 큰 차이가 없다는 평가를 받습니다. 가격 차이는 30% 이상 날 수 있어 비용을 절감할 수 있는 방법 중 하나입니다.
4. 패키지 및 이벤트 활용
일부 병원에서는 전체 임플란트 패키지를 구성해 일정 기간 동안 할인 혜택을 제공합니다. 단, 무조건 저렴하다고 결정하지 말고 의료진의 경력과 시술 사례를 함께 확인해야 합니다.



5. 치료 시기 조절
치료를 서두를 필요가 없다면, 비수기(예: 여름철, 연말) 등을 노려 이벤트 기간을 활용하는 것도 좋은 전략입니다. 연말정산 혜택도 생각해 연초보다 연말 시기를 노리는 분들도 많습니다.
주의할 점도 분명히 있습니다
- 너무 저렴한 가격에 유혹되지 말기
광고비용을 줄이고 실속 있는 병원을 선택하는 것은 좋지만, 비정상적으로 저렴한 가격에는 이유가 있습니다. 무분별한 저가 시술은 부작용과 재시술 가능성을 높입니다. - 사후관리 포함 여부 확인
전체 임플란트는 시술 후 관리가 매우 중요합니다. 정기 검진, 보철물 관리, 잇몸 상태 점검 등이 포함된 프로그램인지 꼭 확인해야 합니다.



결론
전체 임플란트는 고가의 시술이지만, 체계적으로 정보를 수집하고 신중히 선택한다면 경제적인 부담을 줄이면서도 만족스러운 결과를 얻을 수 있습니다. 임플란트의 품질 못지않게 중요한 것이 의료진의 실력과 사후관리입니다. 비용만 보지 말고, 신뢰와 경험을 함께 고려하는 것이 핵심입니다.






