목차
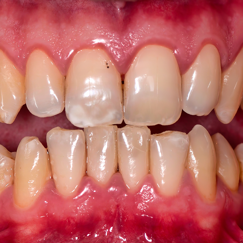
잇몸이 부어오르면 먹을 때도 불편하고, 심하면 통증까지 동반돼 일상생활이 힘들어질 수 있습니다. 특히 스트레스를 받거나 피곤할 때, 혹은 양치가 제대로 되지 않았을 때 잇몸이 붓는 경우가 많은데요. 잇몸 부었을 때 어떻게 해야 빠르게 회복할 수 있을까요? 오늘은 잇몸 부었을 때 원인부터 대처법까지 자세히 알아보겠습니다.
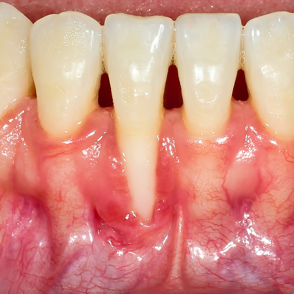
📌 잇몸 붓는 원인은?
잇몸이 붓는 이유는 여러 가지가 있어요. 대표적인 원인은 다음과 같습니다.
1. 치주염(잇몸염증)
- 양치가 제대로 안 되어 치석과 플라그가 쌓이면 세균이 번식하면서 염증이 생길 수 있습니다.
- 초기에는 잇몸이 붉어지고 붓지만, 심해지면 피가 나거나 고름까지 생길 수 있습니다.

2. 피로와 면역력 저하
- 과로하거나 스트레스를 많이 받으면 면역력이 떨어지면서 잇몸이 붓고 통증이 생길 수 있습니다.
- 특히 감기나 몸살이 있을 때 잇몸까지 붓는 경우도 많습니다.
3. 사랑니 문제
- 사랑니가 제대로 나지 않거나 염증이 생기면 잇몸이 붓고 아프면서 입을 벌리기 어려울 수 있습니다.
- 특히 잇몸 안쪽에 묻혀 있는 매복 사랑니는 주변 잇몸을 자극해 염증을 유발하기도 합니다.
4. 음식물 찌꺼기 & 외상
- 단단한 음식(뼈, 과자, 칩 등)을 씹다가 잇몸이 다치면 부을 수 있습니다.
- 음식물이 치아 사이에 끼어 염증을 일으킬 수도 있습니다.
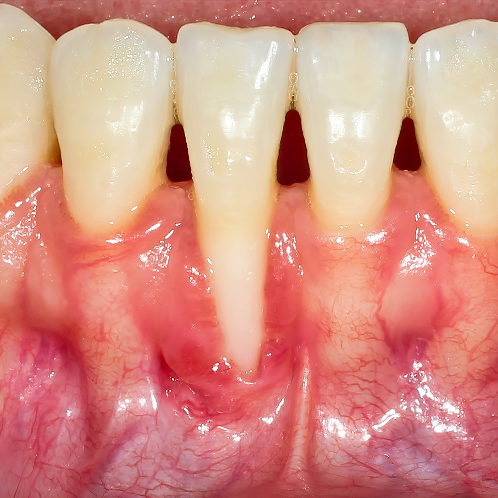
5. 호르몬 변화 (임신, 생리)
- 임신 중이거나 생리 전후에는 호르몬 변화로 인해 잇몸이 붓는 경우가 있습니다.



✅ 잇몸 부었을 때 대처법
1. 염증 완화 & 소독 – 소금물 가글하기
- 따뜻한 소금물로 입안을 헹구면 염증을 줄이고 세균을 제거하는 데 도움이 돼요.
- 하루 2~3번 정도 하면 효과적이에요.
2. 찬물 또는 얼음찜질 하기
- 잇몸이 많이 부었을 때는 찬물로 헹구거나 얼음찜질을 하면 붓기가 가라앉습니다.
- 단, 너무 차가운 음식(아이스크림 등)을 직접 먹는 것은 피하시는 것이 좋습니다.
3. 양치질 부드럽게 하기
- 잇몸이 아프다고 양치를 안 하면 세균이 더 번식하는 환경이 됩니다.
- 칫솔을 부드럽게 사용하고, 염증이 있는 부위는 조심스럽게 닦는 것이 중요합니다.
4. 구강청결제 & 항균치약 사용
- 소독 효과가 있는 구강청결제(가그린, 리스테린 등)를 사용하면 세균을 제거하는 데 도움이 됩니다.
- 항균 기능이 있는 치약도 잇몸 염증 완화에 좋습니다.
5. 음식 조심하기 (자극적인 음식 피하기)
- 맵고 짠 음식, 뜨겁거나 단단한 음식은 잇몸을 자극해서 염증을 악화시킬 수 있으므로 조심하시는 것이 좋습니다.
- 부드러운 음식(죽, 수프, 두부 등)을 먹고, 자극적인 음식은 피하셔야 합니다.
6. 충분한 수면과 스트레스 관리
- 피로와 스트레스가 잇몸 염증을 유발할 수 있으니 충분한 휴식을 취하셔야 합니다.



🚨 잇몸이 너무 심하게 붓거나 통증이 심할 때
아래 경우라면 반드시 치과를 방문하셔야 합니다.
✔ 잇몸이 심하게 붓고, 열감이 느껴질 때
✔ 고름이 나오거나 입 냄새가 심할 때
✔ 사랑니 주변이 붓고 통증이 심할 때
✔ 이틀 이상 잇몸이 계속 부어 있을 때
✔ 잇몸이 붓고, 얼굴까지 부어오를 때
이런 경우 단순한 잇몸 염증이 아니라 심각한 치주 질환이거나 사랑니 발치가 필요한 상황일 수도 있습니다.
💡 잇몸 붓지 않게 예방하는 방법
잇몸 건강을 유지하려면 평소 관리가 중요합니다!
🔹 하루 2~ ~3번 꼼꼼한 양치질 (치실 & 구강청결제 사용)
🔹 비타민C가 풍부한 과일(귤, 키위 등) 섭취
🔹 충분한 수분 섭취 & 피로 관리
🔹 치과 정기 검진 (6개월 ~ 1년마다 스케일링)
잇몸이 자주 붓는다면 스케일링을 꾸준히 받아 치석을 관리하는 것도 중요합니다.



📌 마무리 – 잇몸 붓기는 빠르게 대처해야!
잇몸이 부으면 그냥 방치하지 말고 초기에 관리하는 게 중요합니다.
소금물 가글, 얼음찜질, 올바른 양치 습관을 유지하면서 염증을 가라앉혀 주는 것이 좋습니다.
하지만 잇몸이 심하게 붓거나 고름이 생긴다면 지체하지 말고 치과에 방문하는 게 가장 확실한 해결하셔야 합니다!
잇몸 건강 잘 챙기시고, 하루빨리 회복하세요! 😊



함께 보면 좋은 정보
치질 증상 및 단계별 특징, 수술은 언제해야 할까?
치질은 항문 주변 혈관이 확장되거나 부풀어 올라 생기는 질환입니다. 흔히 내치핵(내치질)과 외치핵(외치질)으로 나뉘며, 출혈, 통증, 가려움 등의 증상을 유발할 수 있습니다. 오늘은 치질 증
healthok.kr
임플란트 의료보험적용대상 및 유의사항
나이가 들거나 사고로 인해 치아를 발치하게 되면 음식을 씹기 어려워지고, 건강에도 심각한 영향을 줄 수 있습니다. 이를 해결하기 위한 방법 중 하나가 임플란트인데요, 비용이 부담될 수 있
healthok.kr
당뇨병 초기증상 예방 및 관리 방법 정리
우리 몸은 건강에 이상이 생기면 다양한 신호를 보냅니다. 당뇨병도 마찬가지인데요, 문제는 초기 증상이 뚜렷하지 않거나 가볍게 넘기기 쉬워 조기 발견이 어렵다는 점입니다. 하지만 작은 변
healthok.kr
노안 수술 가격 종류별 비용 차이
나이가 들면서 가까운 글씨가 흐릿하게 보이고, 스마트폰 화면이 불편해지는 순간이 오죠. 바로 노안(老眼) 때문인데요.다행히도 현대 의학 기술로 노안을 개선하는 다양한 수술 방법이 있습니
healthok.kr
대상포진 초기증상, 예방접종 가격, 치료 방법 총정리
대상포진은 면역력이 저하될 때 발병하는 바이러스성 질환으로, 극심한 통증과 신경 손상을 유발할 수 있습니다.특히 초기에 적절한 치료를 받지 않으면 신경통이 오래 지속될 수 있어 조기 진
healthok.kr